Find out more about how this website uses cookies to enhance your browsing experience.
Using MLS Class 4 Laser to treat COVID-19

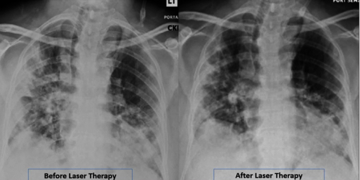
CASE REPORT A 57-year-old African American man with severe COVID-19 received 4 once-daily PBMT sessions by a laser scanner with pulsed 808 nm and super-pulsed 905 nm modes for 28 min. The patient was evaluated before and after treatment via radiological assessment of lung edema (RALE) by CXR, pulmonary severity indices, blood tests, oxygen requirements, and patient questionnaires. Oxygen saturation (SpO₂) increased from 93–94% to 97–100%, while the oxygen requirement decreased from 2–4 L/min to 1 L/min. The RALE score improved from 8 to 5. The Pneumonia Severity Index improved from Class V (142) to Class II (67). Additional pulmonary indices (Brescia-COVID and SMART-COP) both decreased from 4 to 0. CRP normalized from 15.1 to 1.23. The patient reported substantial improvement in the Community-Acquired Pneumonia assessment tool.
Full article available: https://www.amjcaserep.com/abstract/index/idArt/926779